Sức khỏe

ThS.BS. Nguyễn Quang Tiến – CEO Bệnh viện Răng Hàm Mặt Sài Gòn: Một số sai lầm khi niềng răng nhiều người Việt thường xuyên mắc phải

(HNTTO) – Niềng răng là quá trình giúp cải thiện hàm răng không đều, mang lại nụ cười tự tin hơn. Thếnhưng, trong suốt quá trình niềng răng, không ít người mắc phải những sai lầm có thể làm giảm hiệu quả điều trị hoặc thậm chí gây ra những tác hại không mong muốn.

ThS.BS. Nguyễn Quang Tiến khuyến nghị, trong quá trình niềng răng, nhiều người mắc phải những sai lầm không đáng có, dẫn đến kết quả điều trị không như mong đợi, thậm chí phải tạm dừng quá trình niềng răng để khắc phục biến chứng.

Dưới đây là 5 sai lầm rất dễ mắc phải mà người niềng răng:

Vệ sinh răng miệng không đúng cách

Với việc đeo khí cụ niềng răng khiến việc vệ sinh trở nên khó khăn hơn. Nếu không làm sạch kỹ lưỡng, thức ăn dễ bị mắc kẹt, tạo điều kiện cho vi khuẩn phát triển, dẫn đến sâu răng, viêm nướu, thậm chí là phì đại lợi. Những vấn đề này không chỉ làm gián đoạn quá trình niềng mà còn ảnh hưởng nghiêm trọng đến sức khoẻ răng miệng.

Nên chú trọng vệ sinh trong quá trình niềng răng để giữ răng sạch khoẻ

Cùng với đó, người niềng răng cần đánh răng ít nhất ba lần mỗi ngày, sau mỗi bữa ăn, bằng bàn chải chuyên dụng. Việc đánh răng đúng cách quan trọng hơn tần suất. Hãy sử dụng bàn chải lông mềm, chải kỹ quanh mắc cài theo góc 45 độ. Cạnh đó, cần kết hợp bàn chải kẽ, chỉ nha khoa hoặc tăm nước để làm sạch các vị trí khó tiếp cận. Súc miệng bằng nước muối sinh lý hoặc nước súc miệng không cồn cũng giúp giảm nguy cơ viêm nhiễm.

Ăn nhai không đúng cách

Điển hình, các chế độ ăn uống đóng vai trò quan trọng trong việc bảo vệ khí cụ chỉnh nha. Thói quen ăn thực phẩm cứng (như bánh mì cứng), dẻo (như kẹo dẻo) hoặc đồ uống quá nóng có thể làm bung mắc cài, biến dạng dây cung, gây gián đoạn quá trình điều trị. Mặt khác, việc nhai không đều hoặc không kỹ cũng ảnh hưởng đến hiệu quả chỉnh nha.

Do đó, cần ưu tiên thực phẩm mềm, dễ nhai như: cháo, súp, cơm rau, thịt cá cắt nhỏ, sữa chua, đặc biệt trong giai đoạn đầu khi chưa quen với mắc cài. Thái nhỏ thức ăn trước khi ăn để giảm áp lực lên răng. Quan trọng hơn, hãy nhai kỹ và đều cả hai bên hàm để đảm bảo lực nhai được phân bổ hợp lý, hỗ trợ quá trình di chuyển răng.

Mặc dù vậy, vẫn còn một số người niềng răng có thói quen ngại nhai nên chỉ ăn thức ăn lỏng, mềm, ăn ít dẫn tới cơ nhai ít hoạt động và giảm cân gây nên tình trạng hóp má. Cần nhai nhiều, ăn đa dạng thức ăn (trừ gân, sụn, xương), không nên quá kiêng khem giảm cân dẫn đến mặt hóp.

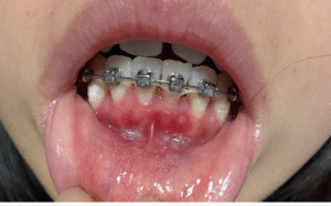
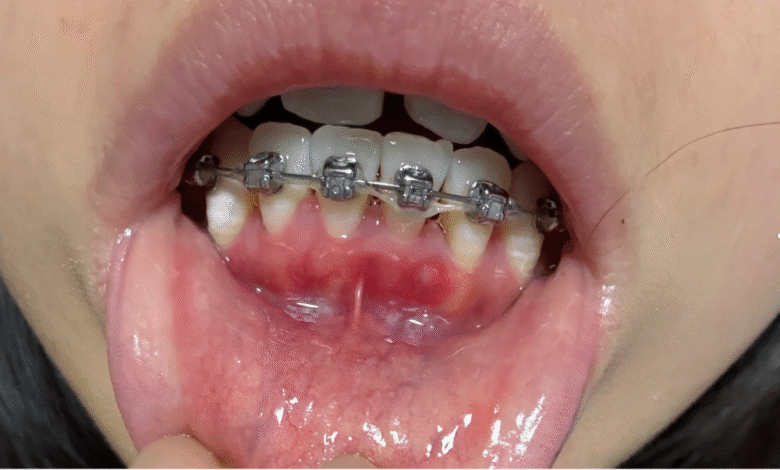
Chọn bác sĩ không đúng chuyên môn

Một sai lầm nghiêm trọng mà nhiều người mắc phải là chọn bác sĩ thiếu kinh nghiệm hoặc tin vào các quảng cáo “giá rẻ”. Song song đó, khi người thực hiện niềng răng không đủ chuyên môn có thể đưa ra kế hoạch điều trị không phù hợp, dẫn đến sai lệch khớp cắn, răng di chuyển sai hướng, hoặc gây tổn thương nướu và chân răng. Hậu quả là kết quả niềng không đạt mong muốn, kéo dài thời gian điều trị và tốn kém chi phí khắc phục.

Hậu quả khi chọn bác sĩ thiếu kinh nghiệm hoặc tin vào các quảng cáo “giá rẻ”

Khuyến nghị, cần lựa chọn nha khoa uy tín với bác sĩ có chuyên môn cao và kinh nghiệm lâm sàng. Tìm hiểu kỹ thông tin, tham khảo ý kiến từ những người đã niềng răng thành công và kiểm tra chứng chỉ hành nghề của bác sĩ để đảm bảo an toàn và hiệu quả.

Không tuân thủ hẹn khám

Niềng răng là một hành trình dài, có thể kéo dài từ 1 đến 3 năm tùy thuộc vào tình trạng răng, song nhiều người không tuân thủ lịch khám định kỳ do bận rộn hoặc thiếu kiên nhẫn khi không thấy kết quả ngay lập tức. Một số người cảm thấy đau hoặc khó chịu trong giai đoạn đầu và dễ nản lòng, dẫn đến bỏ dở quá trình điều trị.

Cần tuân thủ nghiêm ngặt lịch khám và tư vấn của bác sĩ. Mỗi lần tái khám giúp bác sĩ điều chỉnh lực kéo, đảm bảo răng di chuyển đúng hướng. Kiên nhẫn là yếu tố then chốt để đạt được kết quả tốt nhất. Nếu gặp khó khăn, hãy trao đổi với bác sĩ để được hỗ trợ kịp thời.

Không đeo chun liên hàm và hàm duy trì

Dây chun liên hàm là công cụ quan trọng trong một số giai đoạn niềng răng, giúp điều chỉnh khớp cắn và hỗ trợ răng di chuyển. Ngoài ra, nhiều người cảm thấy khó chịu và không đeo chun thường xuyên, dẫn đến kéo dài thời gian điều trị. Tương tự, sau khi tháo mắc cài, việc không đeo hàm duy trì theo chỉ định có thể khiến răng xô lệch trở lại, làm mất đi kết quả niềng răng.

Cần tuân thủ nghiêm ngặt chỉ định của bác sĩ về việc đeo chun liên hàm và hàm duy trì. Hàm duy trì giúp cố định vị trí răng sau khi tháo mắc cài, đặc biệt trong vài tháng đầu khi răng còn dễ dịch chuyển. Đeo hàm duy trì đúng cách và đủ thời gian sẽ đảm bảo kết quả niềng bền vững.

Trên đây là một số ý kiến chuyên môn mà Tạp chí Doanh nghiệp và Trang trại Việt Nam số T9 mong muốn, truyền tải những thông tin kinh nghiệm đến bạn đọc tham khảo, để có sức khoẻ răng miệng tốt nhất, có nụ cười duyên dáng, xinh tươi bởi đây là một trong những yếu tố then chốt trong việc xây dựng thương hiệu cá nhân, để đưa doanh nghiệp vươn tầm thế giới trong hoạch định chiến lược kinh doanh trong giai đoạn mới…

Minh Sơn  

Bài viết liên quan

Back to top button